Accessible Version
PhD Dental
All Locations Accepting Medical, Denti-cal (Medi-cal). We also accept all PPO insurances.

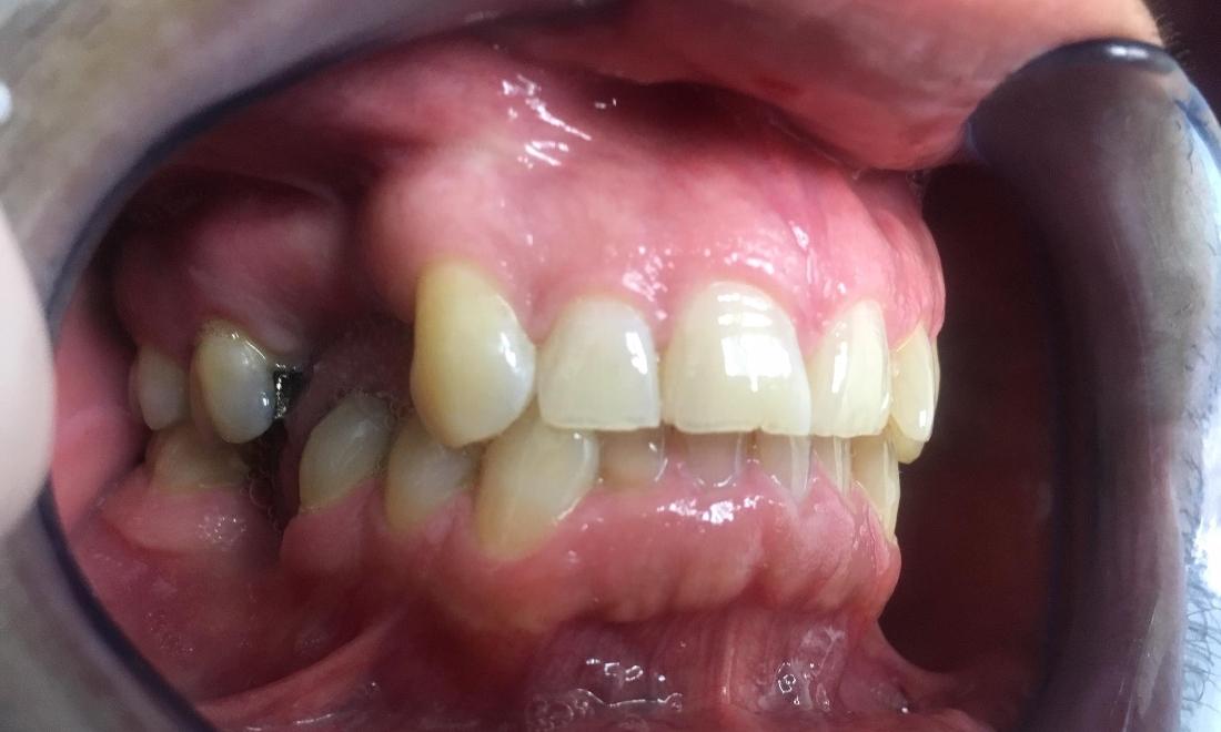
Dental Bridges Replace Missing Teeth in LA

This patient was suffering from multiple areas of missing teeth. The patient was not a candidate for dental implants due to severe bone loss in the area. We utilized fixed bridges to replace multiple missing teeth in just 2 visits.

Christopher M

"For years I was afraid to visit the dentist until I came across PhD Dental Group. They have the nicest staff and I recommend them to anyone looking for a dentist. A+ service."

Ready to book an appointment?
If you have difficulty using our website, please email us or call us at
View the ADA Accessibility Statement