Accessible Version
PhD Dental
All Locations Accepting Medical, Denti-cal (Medi-cal). We also accept all PPO insurances. Payments plans and financing available.

Todas las ubicaciones aceptan Medical, Denti-Cal (Medi-Cal). También aceptamos todos los seguros PPO. Planes de pago y financiamiento disponibles.

Smile Gallery

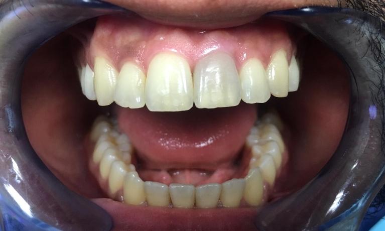
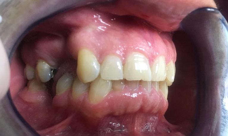
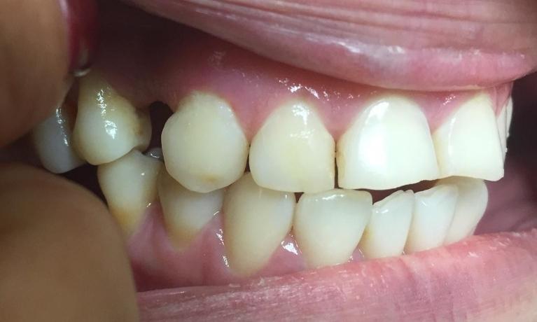
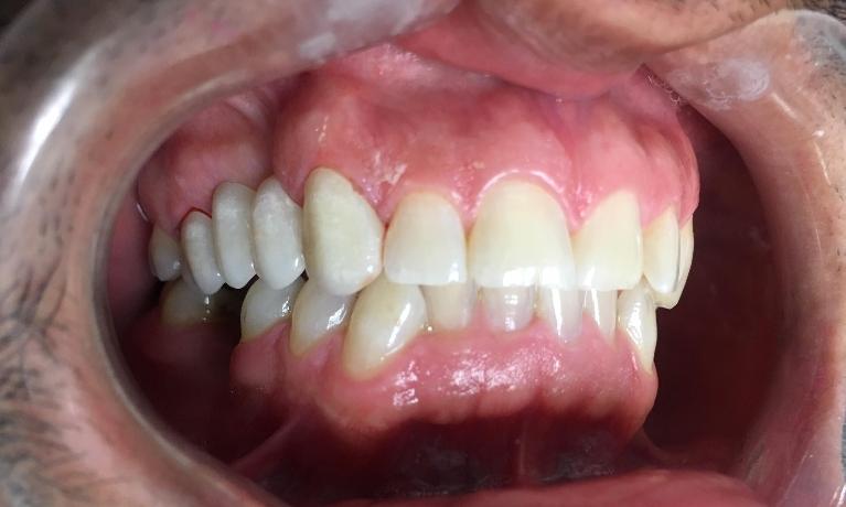
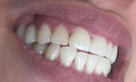
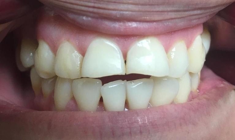
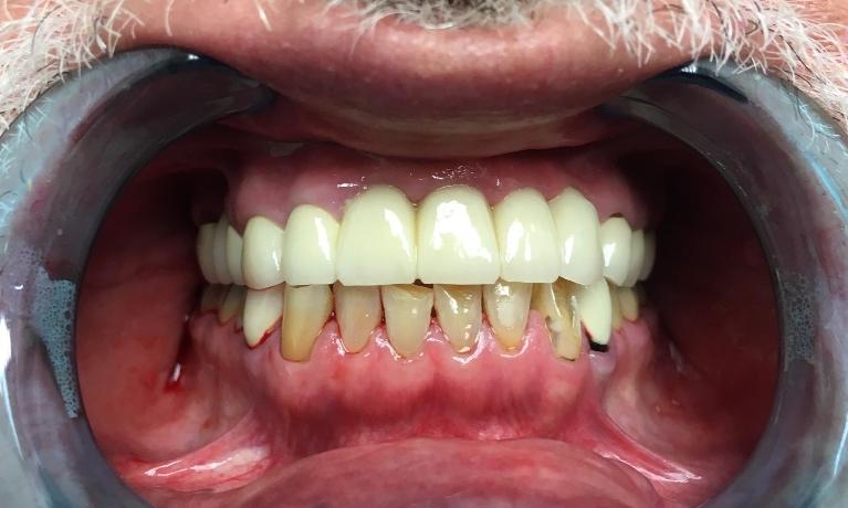
One of our greatest pleasures at PhD Dental is to see the positive effect that a smile transformation can have on our patients' lives. Whether you need a tooth filled or a complete smile makeover, we know you will be thrilled with the renewed confidence and pride you will feel as a result! 

Over the years, our team has helped hundreds of patients enjoy a happier, healthier smile. Please take a look at the examples below to see some of the smile transformations we've created, then call us to see what's possible for you! 

Call Us with Your Questions or to Schedule an Appointment
Gallery Categories
Samantha C.

"PhD Dental is somewhere that I recommend highly. First of all, Dr. Bina is one of the most sweet, caring, and intelligent dentists that I have ever encountered. He knows his job and he is the best. My whole family comes here and I have three young kids that have all had very positive experiences. He’s not out to get your money. He’s so honest and I would never change to another dentist. I have referred several people to him and all have come back very very happy."

If you have difficulty using our website, please email us or call us at
View the ADA Accessibility Statement