Accessible Version
PhD Dental
All Locations Accepting Medical, Denti-cal (Medi-cal). We also accept all PPO insurances.

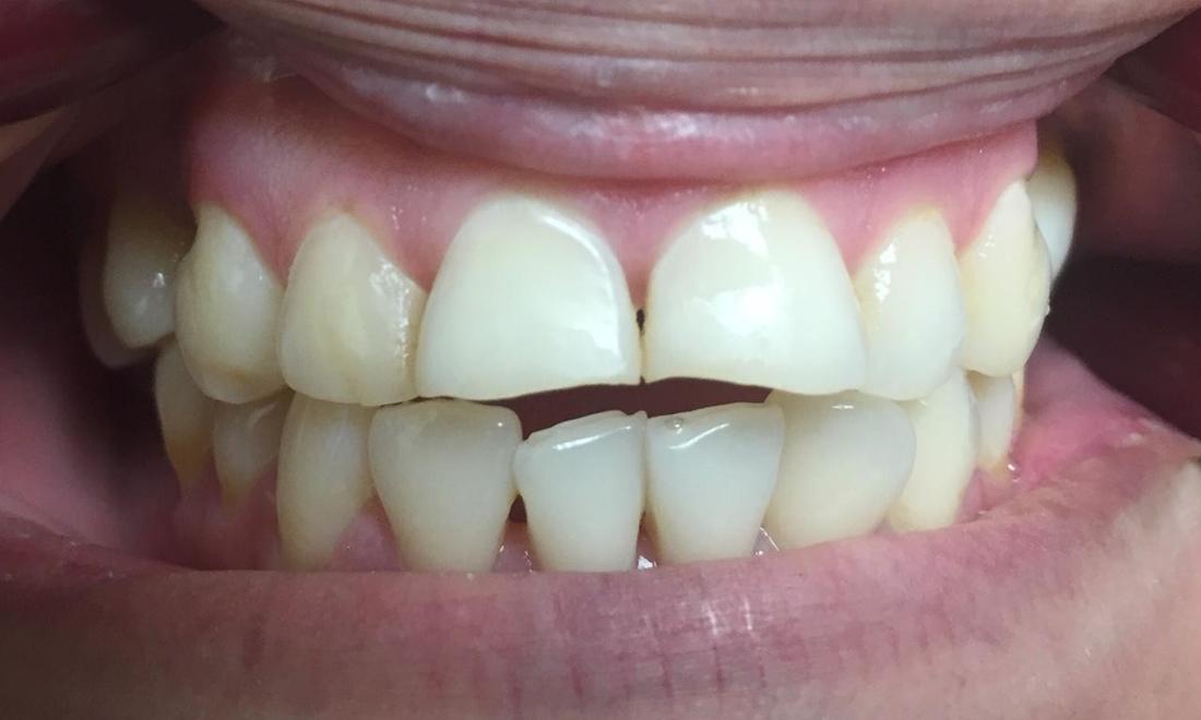
Dental Crowns for a New Smile in Los Angeles

This female patient is unhappy with the shape of her 2 front teeth. We were able to achieve a very natural and aesthetic result with just 2 Emax crowns on her 2 front teeth. The patient was very happy with the results!

Christopher M

"For years I was afraid to visit the dentist until I came across PhD Dental Group. They have the nicest staff and I recommend them to anyone looking for a dentist. A+ service."

Ready to book an appointment?
If you have difficulty using our website, please email us or call us at
View the ADA Accessibility Statement