Accessible Version
PhD Dental
All Locations Accepting Medical, Denti-cal (Medi-cal). We also accept all PPO insurances. Payments plans and financing available.

Todas las ubicaciones aceptan Medical, Denti-Cal (Medi-Cal). También aceptamos todos los seguros PPO. Planes de pago y financiamiento disponibles.

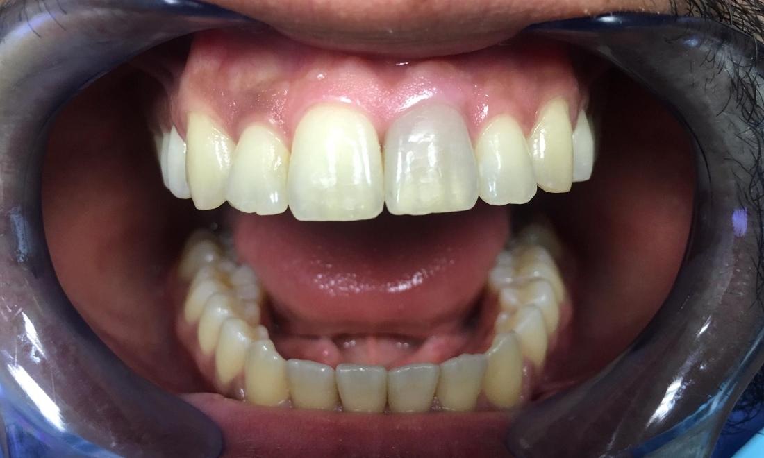
Dental Crowns to Whiten Teeth in Inglewood, CA

This male patient had due internal discoloration of one of his upper front teeth. After 2 internal bleaching procedures, the shade did not improve much. We were able to improve the shade using a full coverage layered zirconia crown.

Ready to book an appointment?
If you have difficulty using our website, please email us or call us at
View the ADA Accessibility Statement
Privacy Policy