Accessible Version
PhD Dental
All Locations Accepting Medical, Denti-cal (Medi-cal). We also accept all PPO insurances. Payments plans and financing available.

Todas las ubicaciones aceptan Medical, Denti-Cal (Medi-Cal). También aceptamos todos los seguros PPO. Planes de pago y financiamiento disponibles.

Dental Crows in Pico Rivera

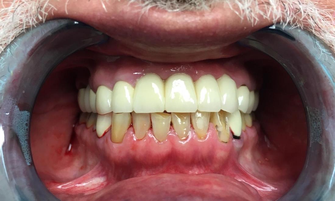
This male patient was unhappy with his lower 6 front teeth. We achieved and surpassed the results the patient was seeking using 6 full-coverage crowns.

Call Us with Your Questions or to Schedule an Appointment
If you have difficulty using our website, please email us or call us at
View the ADA Accessibility Statement
Privacy Policy